Invisalign® Treatment in Hickory, NC
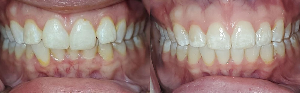
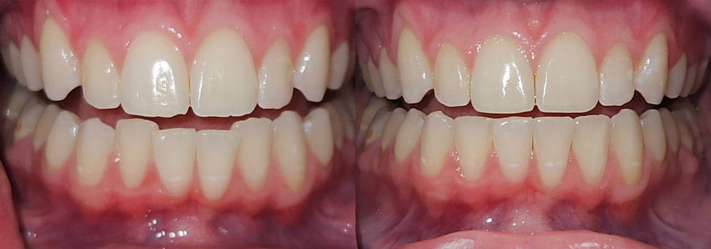
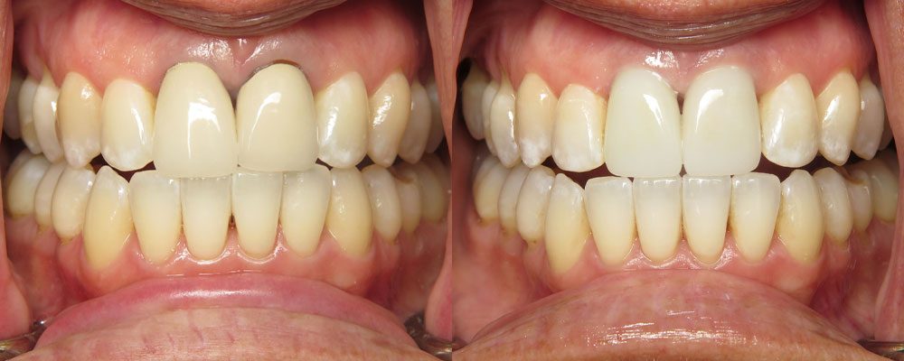
Invisalign® offers a revolutionary approach to straightening teeth using custom-fabricated clear aligners, providing a discreet and comfortable alternative to traditional braces. Led by Dr. Cordora, our Hickory dental team provides personalized Invisalign treatment, ensuring optimal results and patient satisfaction.
How Invisalign Works
Invisalign utilizes clear, removable aligners that are custom-made to fit your teeth perfectly. These aligners apply controlled force to each tooth, gradually shifting them into the desired position. This process minimizes discomfort, offering a more pleasant orthodontic experience.
In addition to creating a beautiful smile, Invisalign offers several benefits:
- Faster and more comfortable method of straightening teeth compared to traditional braces.
- Aesthetic option without the need for metal wires or brackets, allowing you to smile confidently throughout treatment.
- Removable aligners make eating, brushing, and flossing hassle-free, promoting better oral hygiene during treatment.
You may be an ideal candidate for Invisalign if you have mild to moderate crowding, spacing, or open bites. Additionally, Invisalign can address minor tooth rotations or significant crowding or spacing in the front teeth, enhancing the cosmetic result for procedures like crowns or veneers.

Personalized Treatment Approach
Unlike many other practices, Dr. Cordora personally fits the aligner trays and places any necessary tooth-colored attachments himself. This hands-on approach ensures the highest level of precision and effectiveness in achieving your desired outcome.
Treatment Length
The duration of Invisalign treatment varies depending on the complexity of the case. Mild to moderate crowding or spacing typically requires four to six months, while comprehensive cases may take six months to a year to complete. Regular orthodontic evaluations ensure the progress of your treatment is monitored effectively.

Ensuring Success with Invisalign
To achieve optimal results with Invisalign, it's essential to:
- Wear your aligners for a minimum of 23 hours per day, following the prescribed treatment plan diligently.
- Avoid extremely crunchy or sticky foods that could potentially loosen fillings or dislodge attachments from teeth.
- Schedule regular visits to our Hickory dental office for orthodontic evaluations every four to five weeks, allowing us to monitor your progress and make any necessary adjustments.
Transform your smile with confidence and convenience with Invisalign at our Hickory dental office. Experience the benefits of a straighter, more confident smile while enjoying the flexibility and comfort of clear aligner therapy. Schedule your consultation at our Hickory dental office and start your journey towards a healthier, happier smile.
